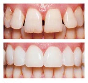
Cosmetic Dentistry

grove avenue teeth bonding